Teeth Whitening Options
At the heart of our practice is a commitment to excellence — both in the teeth whitening results we achieve and the experience we offer. We combine advanced techniques with compassionate care to ensure your journey to a brighter, more confident smile is exceptional.
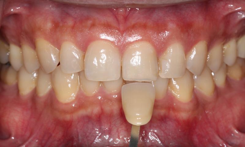
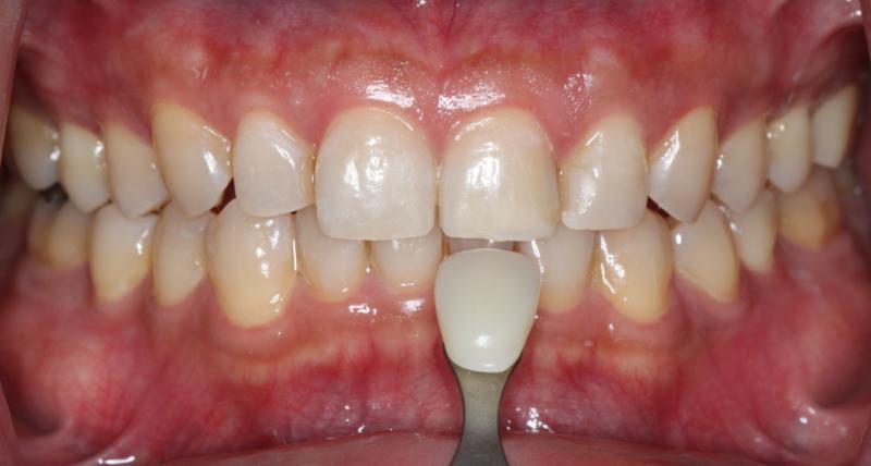
In-Office Whitening
Achieve a radiant smile quickly with our professional in-office whitening treatments. Our advanced techniques ensure effective results with minimal discomfort, tailored to fit your busy schedule.
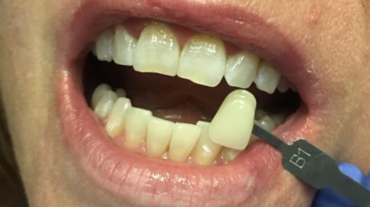
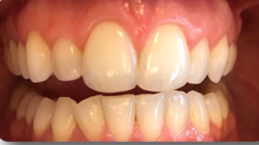
At-Home Whitening
Prefer to whiten at your own pace? Our at-home whitening kits provide convenience and flexibility, with custom trays designed for a comfortable and effective whitening experience.

















