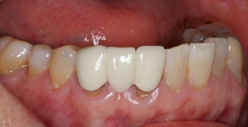
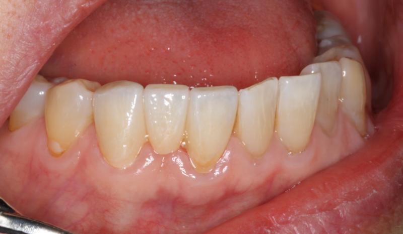
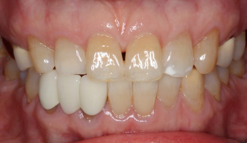
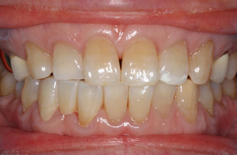
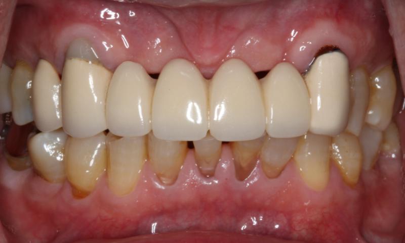
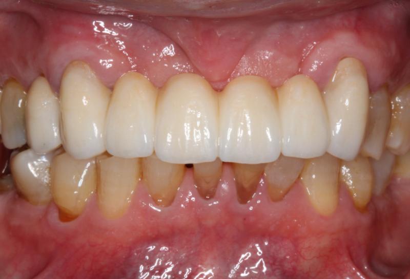
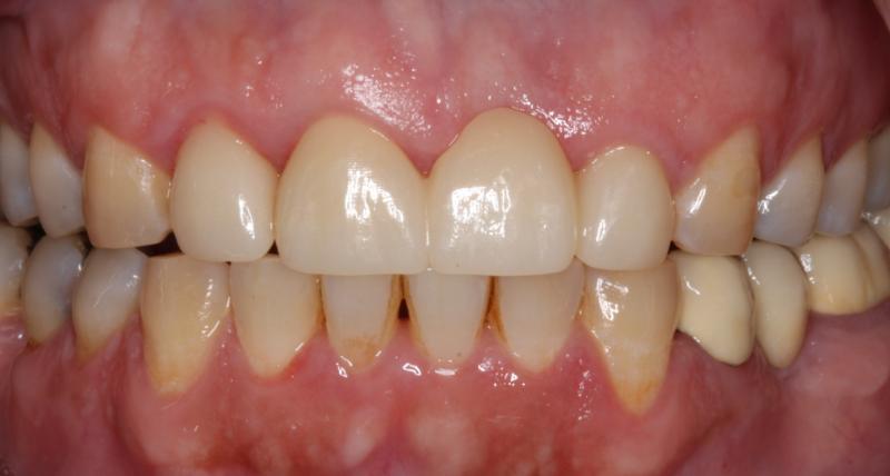
Types of Dental Bridges at DH Dental & Prosthodontics
At DH Dental & Prosthodontics, we prioritize your comfort and care when fitting dental bridges. Our expert team ensures a seamless and personalized experience, using advanced materials to provide a natural-looking and durable solution that fits perfectly with your smile.
- Porcelain Bridges: Crafted with porcelain fused to metal for a blend of durability and natural appearance, tailored to match your smile perfectly.
- Ceramic Bridges: Utilizing advanced ceramic















