Our Office

Address

Phone

Hours
*Every other







Precision imaging leads to precise treatment. Our cone beam imaging system, which avoids the discomfort of conventional bitewings, offers high-definition anatomical scans. These scans create 3D images of the bones, teeth, nerves, sinuses, and the entire structure of the head, face, neck, and jaw.
Meet Our Team



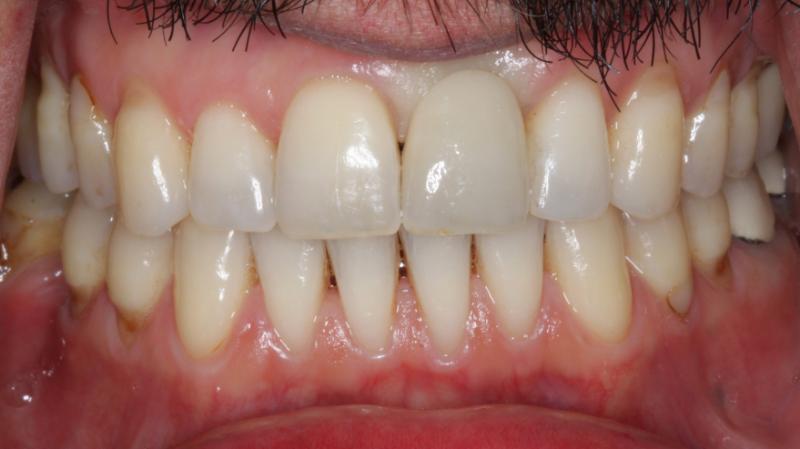
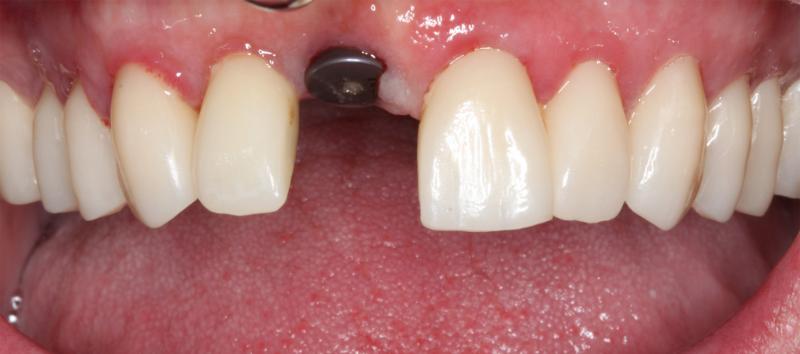
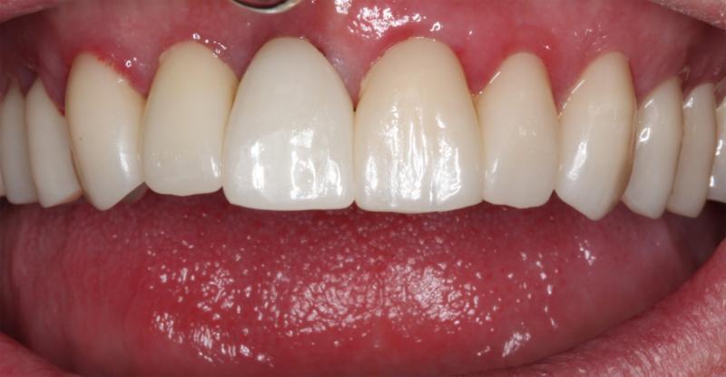
A dental implant is a small titanium post that is surgically placed into the jawbone, providing a foundation for a replacement tooth or teeth. Placing an implant is a common surgical procedure performed by our highly trained prosthodontist.
Dental implants offer incredible benefits, including improved oral health, increased confidence, and better functionality and comfort when compared to traditional dentures or bridges.
If you have one or more missing teeth or are experiencing problems with your dentures, our Reston dental implants may be a great option for you. We don’t take a one-size-fits-all approach and would love to see you for a consultation and give you a personalized evaluation and recommendation.
A bone graft may be needed in cases where your jawbone has deteriorated or is too thin to support a dental implant. A bone graft helps strengthen your jawbone and provides a solid foundation for the implant.
The implant process can vary depending on your individual needs and circumstances. In most cases, we can plan, create, and place your implants from start to finish in just one day!
Call us at (703) 471-4797 to schedule your consultation. Meet with Dr. Hong to determine if dental implants are suitable for you.






