Dental crowns are a solution for damaged teeth
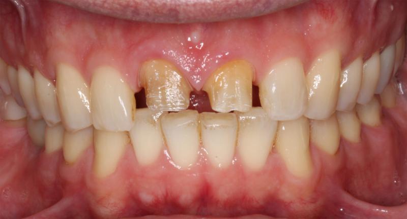
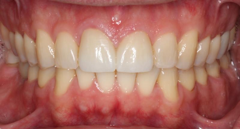
Tooth Decay & Damage
A dental crown can restore integrity to your tooth if decay or damage has spread over a large surface area and cannot be fixed with a filling.
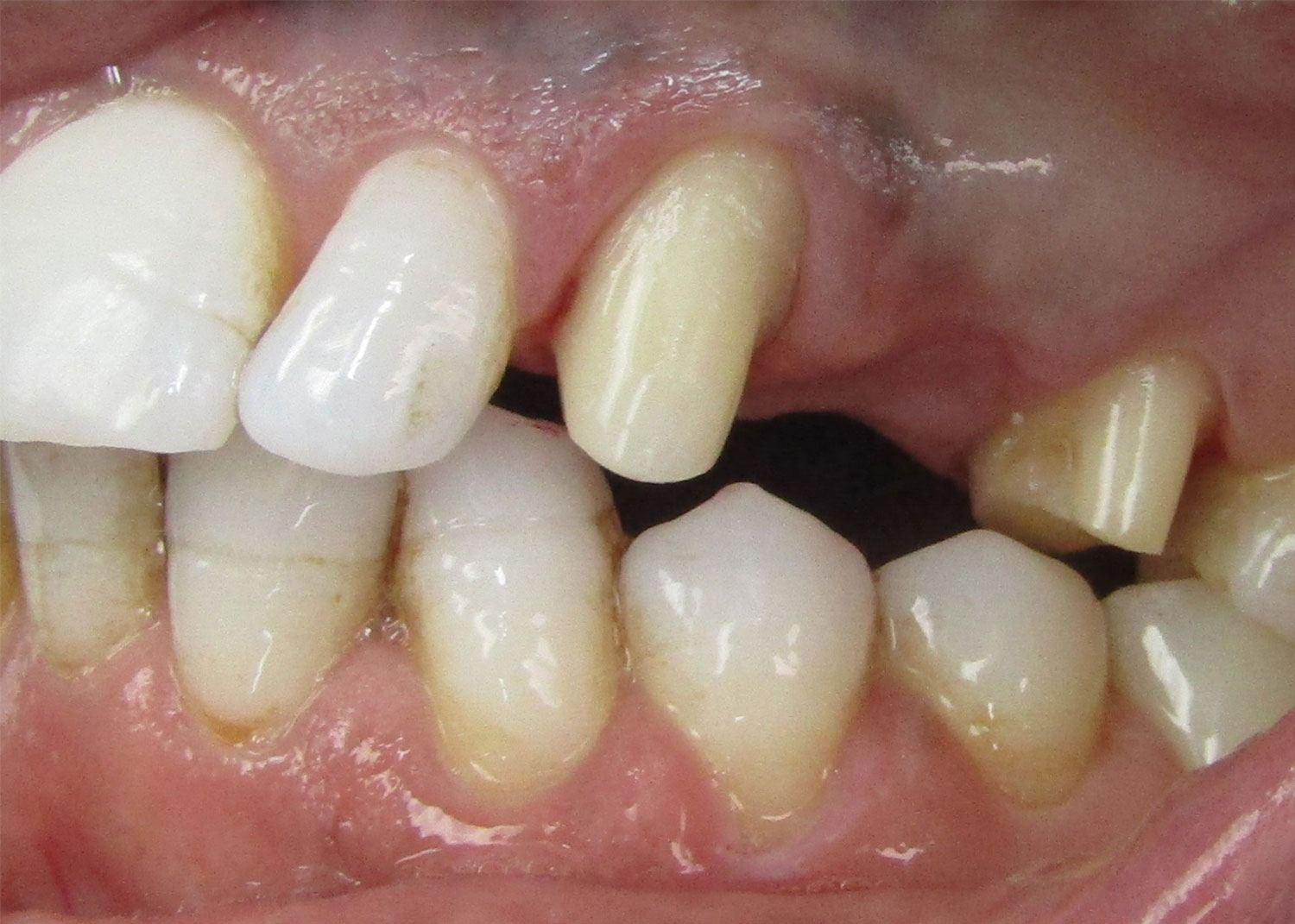
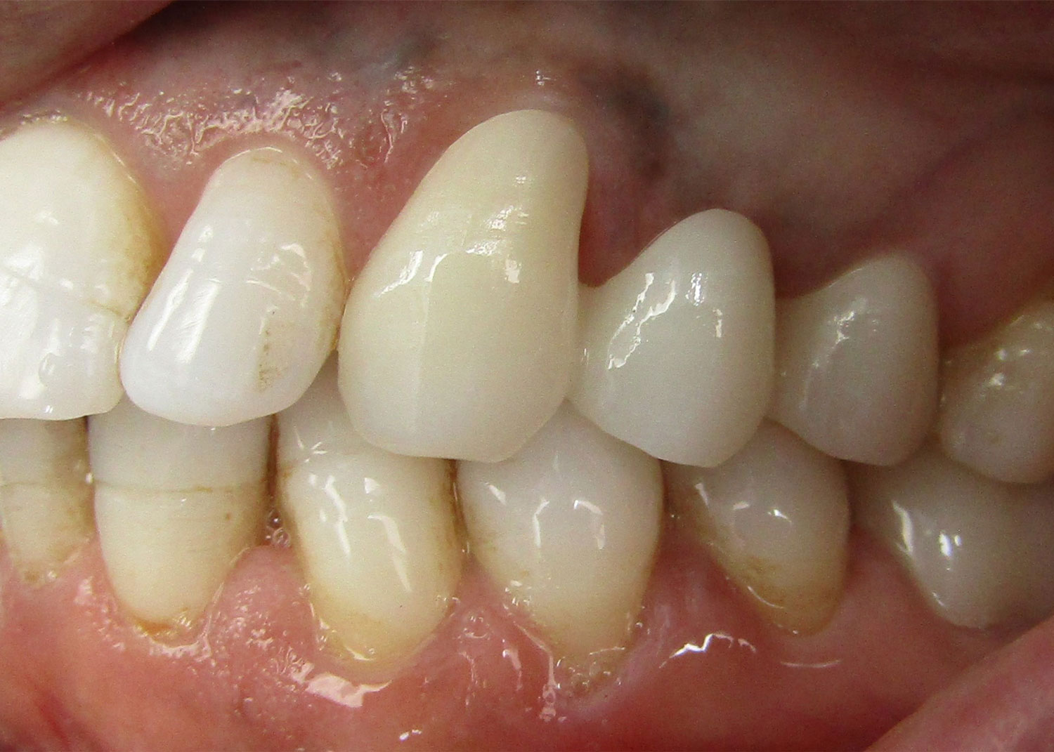
Root Canal
After a root canal, a dental crown provides reinforcement and restores functionality and shape to your tooth.
Dental Implant
As the final step of a dental implant procedure, a dental crown covers the abutment and acts as your new, beautiful tooth.















